I am having brain surgery in June. Hold on. It’s minimally invasive, requiring only two basic instruments:


And it’s not an Omigod-You’re-Gonna-Die tumor. It’s a meningioma, benign tumor, in my left frontal cortex, but the little bastard’s growing. It’s had an impact on my balance but even more on my memory, my decision-making and my ability to organize and prioritize. I get pretty overwhelmed.
So I’m going up to Stanford, first for the MRI, if they can do one. (Evidently, helium is required for MRI’s, and in the wake of Trump’s Iran war, Qatar, which supplies a third of the world’s helium supply, has suspended exportation.) Then, two days later, for the surgery by Standford’s Dr. Robert Dodd.
Dr. Dodd is a Black man, uncommonly handsome, and I am named for two Confederates. I did not let on, even though, if you know me, I am a Lincoln man. I DID let drop that my father-in-law, Gail Bruce, was a 49er, and I think that earned me, in our telehealth conference, a few gold stars.
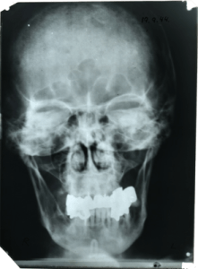
That part, the surgeon, I feel good about. In 2004, I went to Stanford for a history teachers’ seminar on America in the Depression, during the New Deal and in World War II. At the Hoover Institute, I got to hold this X-ray of Hitler’s skull, taken after the July 1944 bomb plot.
I have to admit, that was pretty cool.
So I figure Stanford knows their brains.
Today, I reserved a Redwood City hotel room for Elizabeth and me, for June. That that made the surgery business feel more real. Tomorrow, I visit my cardiologist, and he needs to send my EKG to Stanford via fax.
So there’s a lot on my mind, the part which Manny the Meningioma (I named him) isn’t bothering.
Luckily, I have a lot more to think about: Getting the house painted, a series of speaking engagements, the South County Historical Society, Walter the Basset Hound, my family.
So I will think about them. A lot more.


