Tags
At the end of this post, you’ll see the opening credits to “Ben Casey,” a popular 1960s medical show about handsome Dr. Ben, a neurosurgeon, played by Vincent Edwards.

Dr. Ben deftly picked up the brain he’d dropped earlier in this little boy’s surgery.
His competition was handsome Richard Chamberlain, on another network, as Dr. Kildare, whose love interests included the actress Yvette Mimieux. She was beautiful, and that didn’t prevent her from getting excellent reviews for her performance. (Okay, maybe the bikini helped a little.)


(Her character died, like every last ONE of the young women who set foot on the Ponderosa in “Bonanza.” Those Cartwrights were hell on women.)
Ben Casey’s boss, writing on the blackboard in the video below, was Sam Jaffe, featured in 1939’s “Gunga Din.”


Jaffe, born in New York City of Ukrainian Jewish parents–his childhood tenement is today a museum*– was of course a natural choice to play Gunga, essentially an Indian collaborator with the Raj, but, hey, his buddies were Cary Grant, Victor McLaglen and Douglas Faibanks, Jr., so it’s all good.
*(The Tenement House Museum, on the Lower East Side. Pardon Mr. History Guy for finding Jaffe’s connection amazing.)


Anyway, I was thinking of Ben today because I’ve decided I will contact Stanford and go up there for a wee bit of brain surgery. First, the caveats:
1. I have a tumor, but it’s benign. Nonetheless, it can cause you to fall down, develop blurred vision, and it messes with your memory, like forgetting the name of the actor in the movie you just saw on TV (Robert Ryan) or the name of General Grant’s horse (Cincinnati).
2. It is not actually a “brain tumor.” It’s arises instead in the meninges, which lines the brain. Since “Meninges” sounded to me like an island group, like “Azores,” I have named my tumor Manny.
3. It’s a relatively simple procedure, requiring only a corkscrew and a 1960 Electrolux vacuum cleaner with an upholstery cleaner attachment.


4. Very high success rate, but recovery can be tough. It may involve people bringing me chiles rellenos or cheese enchiladas, sushi, Thai noodles with peanut sauce or ravioli for 60 days after the procedure. And maybe red velvet cake with cream cheese frosting.


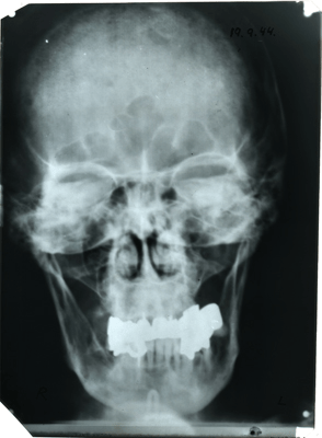
5. Since it’s at Stanford, unless the surgeon loses the corkscrew inside, I’m sure there’s a chance that my IQ will go up, all the way to 100. I attended a week of classes at Stanford in 2004, on the Great Depression and World War II, and got to hold this X-ray of Hitler’s skull, from the Hoover Institution, so all of this is very symmetrical.
6. I get to have morphine, once a dandy additive to children’s medicine.
I’m still working up the courage, being a devout coward, to start the process that will lead to the surgery. It’s been two days now. I will try again tomorrow. I am posting this in part as an incentive for me to get off my rear end and get going.
But I’d better stop watching this video:



